Table of Contents



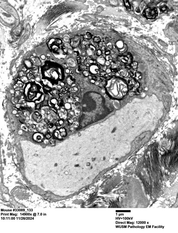
Washington University Experience | PERIPHERAL NEUROPATHY | 6 AXONAL DEMYELINATION (BASIC PROCESS) | 2A3 Mouse #33089 (Case 2) 133AA.jpg

2A3 Mouse #33089 (Case 2) 133AA.jpg
A demyelinated axon with adjacent Schwann cell debris. (electron micrograph)


Gallery RSS RSS Feed | Archive View | Login | Powered by Zenphoto