Table of Contents
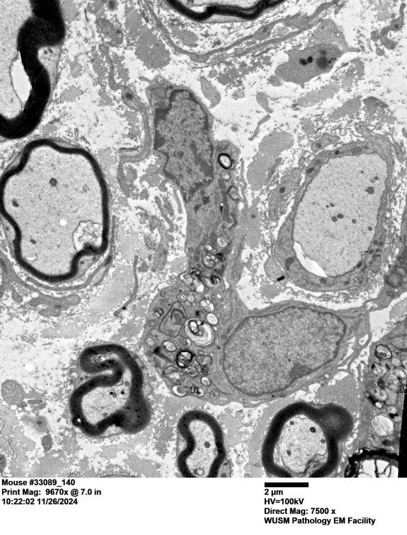
Washington University Experience | PERIPHERAL NEUROPATHY | 6 AXONAL DEMYELINATION (BASIC PROCESS) | 2A4 Mouse #33089 (Case 2) 140a.jpg
A macrophage with cytoplasmic myelin debris within the endoneurium flanked by a remyelinating axon and a naked demyelinated axon. (electron micrograph)
