Table of Contents
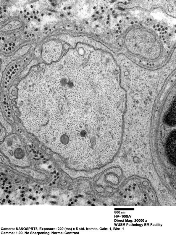
Washington University Experience | PERIPHERAL NEUROPATHY | 6 AXONAL DEMYELINATION (BASIC PROCESS) | 3B2 Dmyel, remyel & AD (Case 3) EM 050 - Copy
A large demyelinated axon shows a prominent cytoskeleton. Electron microscopy shows no evidence of macrophage-mediated demyelination (i.e., no definitive pathognomonic correlate of Guillain-Barre syndrome) (electron micrographs)
