Table of Contents
Washington University Experience | PERIPHERAL NEUROPATHY | 6 AXONAL DEMYELINATION (BASIC PROCESS) | 3B3 Dmyel, remyel & AD (Case 3) EM 070 copy - Copy - Copy
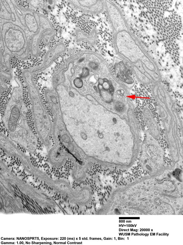
The demyelinated axon is immediately adjacent to a Schwann cell with cytoplasmic myelin debris (arrow). (electron micrograph)
