Table of Contents
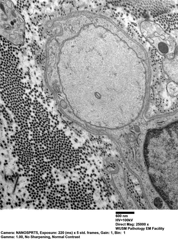
Washington University Experience | PERIPHERAL NEUROPATHY | 6 AXONAL DEMYELINATION (BASIC PROCESS) | 3B4 Dmyel, remyel & AD (Case 3) EM 075 - Copy
3B4,5 The number of demyelinated axons is significantly greater than anticipated from the one micron plastic sections. (electron micrographs)
