Table of Contents
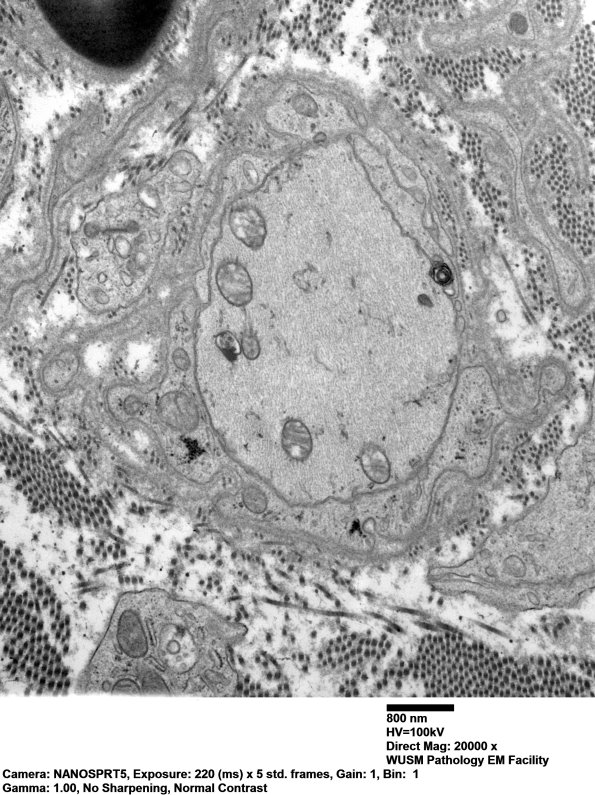
Washington University Experience | PERIPHERAL NEUROPATHY | 6 AXONAL DEMYELINATION (BASIC PROCESS) | 3B5 Dmyel, remyel & AD (Case 3) EM 094 - Copy
The number of demyelinated axons is significantly greater than anticipated from the one micron plastic sections. (electron micrographs)
