Table of Contents
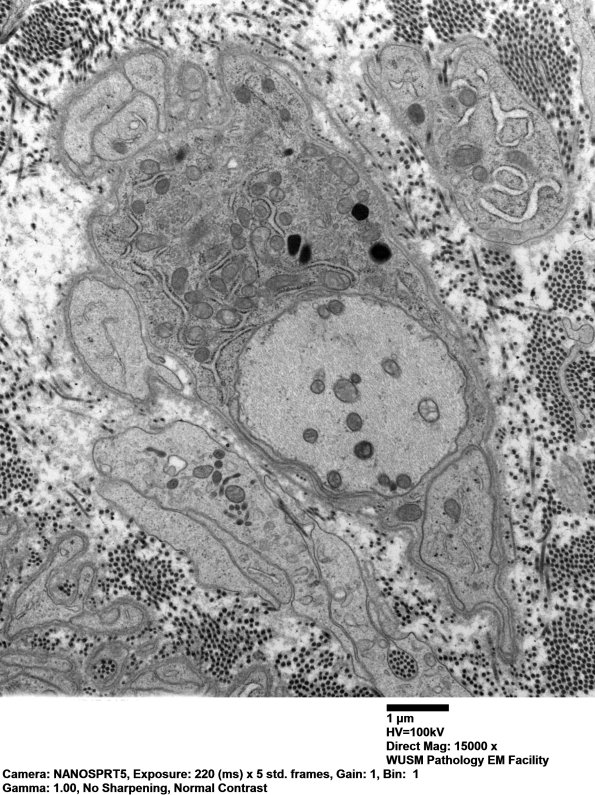
Washington University Experience | PERIPHERAL NEUROPATHY | 6 AXONAL DEMYELINATION (BASIC PROCESS) | 3B6 Dmyel, remyel & AD (Case 3) EM 099 - Copy
3B6,7 This demyelinated axon is adjacent to a Schwann cell with collections of organelles including prominent rough endoplasmic reticulum (RER). (electron micrographs)
