Table of Contents
Washington University Experience | PERIPHERAL NEUROPATHY | 6 AXONAL DEMYELINATION (BASIC PROCESS) | 3B7 Dmyel, remyel & AD (Case 3) EM - Copy
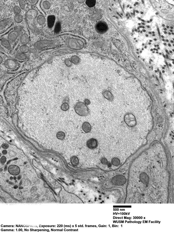
The axonal cytoskeleton is prominent with numerous neurofilaments and microtubules. (electron micrograph)
