Table of Contents
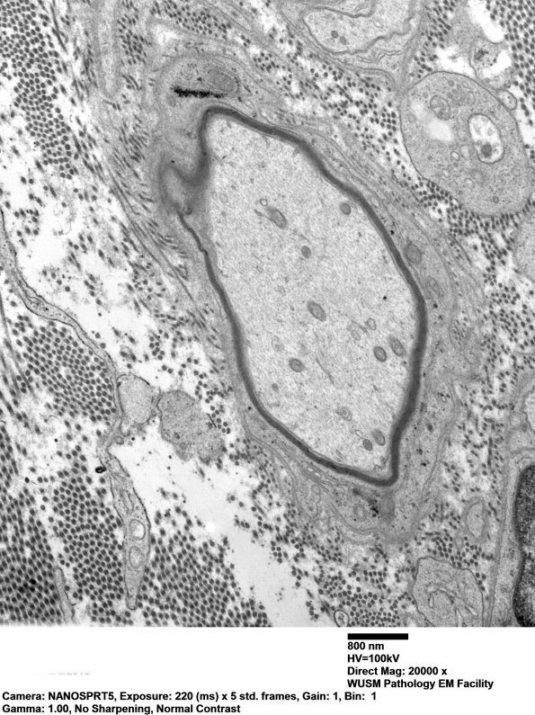
Washington University Experience | PERIPHERAL NEUROPATHY | 6 AXONAL DEMYELINATION (BASIC PROCESS) | 3C2 Remyelination (Case 3) EM 093 - Copy.jpg
3C2,3 Two other examples of demyelinated axons in this case. (electron micrographs)
