Table of Contents



Washington University Experience | PERIPHERAL NEUROPATHY | 6 AXONAL DEMYELINATION (BASIC PROCESS) | 3C3 Remyelination (Case 3) EM 108 - Copy

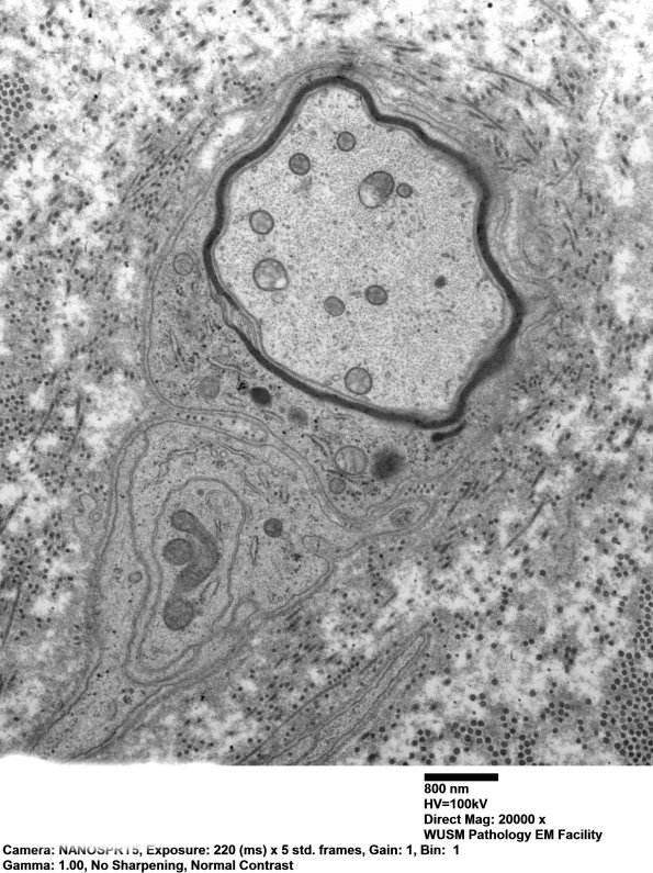
3C3 Remyelination (Case 3) EM 108 - Copy
Two other examples of demyelinated axons in this case. (electron micrographs)


Gallery RSS RSS Feed | Archive View | Login | Powered by Zenphoto