Table of Contents
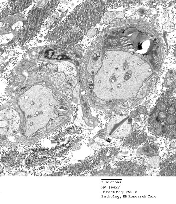
Washington University Experience | PERIPHERAL NEUROPATHY | 6 AXONAL DEMYELINATION (BASIC PROCESS) | 4B1 Demyelination wo remyelination (Case 4) EM 082 - Copy
Two demyelinated axons. One axon shows adjacent cytoplasm of a Schwann cell which is mostly organelles and pi granules rather than engulfed myelin debris
