Table of Contents
Washington University Experience | PERIPHERAL NEUROPATHY | 6 AXONAL DEMYELINATION (BASIC PROCESS) | 4B11 Demyelination wo remyelination (Case 4) EM 058 - Copy
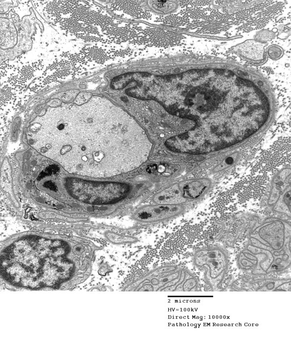
4B11,12 There is prominent reactive Schwann cell Golgi apparatus surrounding this demyelinated axon. (electron micrographs)
