Table of Contents



Washington University Experience | PERIPHERAL NEUROPATHY | 6 AXONAL DEMYELINATION (BASIC PROCESS) | 4B12 Demyelination wo remyelination (Case 4) EM 059 - Copy

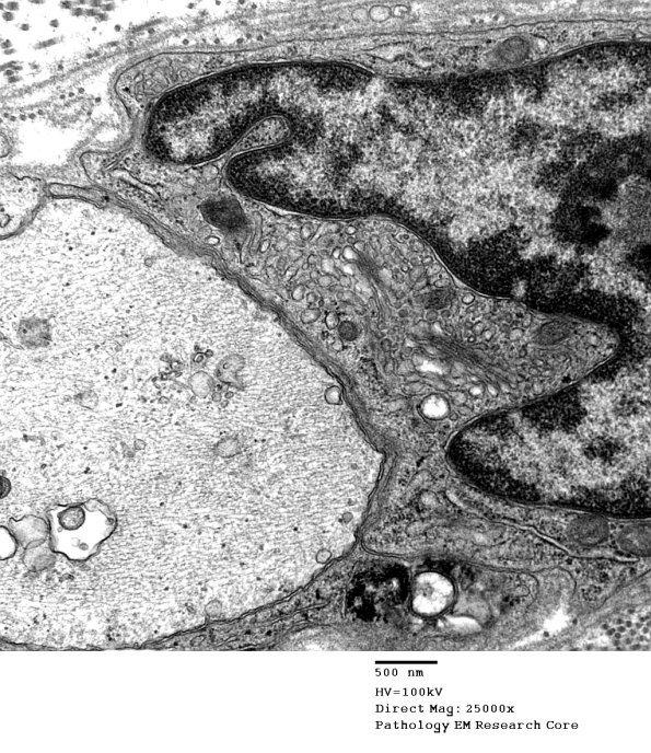
4B12 Demyelination wo remyelination (Case 4) EM 059 - Copy
Higher magnification of image #4B11. (electron micrograph)


Gallery RSS RSS Feed | Archive View | Login | Powered by Zenphoto