Table of Contents
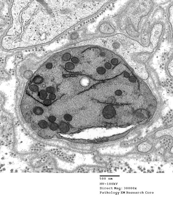
Washington University Experience | PERIPHERAL NEUROPATHY | 6 AXONAL DEMYELINATION (BASIC PROCESS) | 4B13 Demyelination wo remyelination (Case 4) EM 073 - Copy
4B13,14 The axon shows a striking cytoskeleton and an invagination of the axolemma (arrow). (electron micrographs)
