Table of Contents
Washington University Experience | PERIPHERAL NEUROPATHY | 6 AXONAL DEMYELINATION (BASIC PROCESS) | 4B14 Demyelination wo remyelination (Case 4) EM 075 copy - Copy
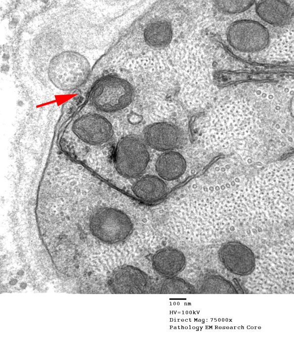
The axon shows a striking cytoskeleton and an invagination of the axolemma (arrow). (electron micrographs)
