Table of Contents
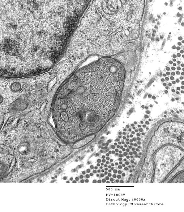
Washington University Experience | PERIPHERAL NEUROPATHY | 6 AXONAL DEMYELINATION (BASIC PROCESS) | 4B16 Demyelination wo remyelination (Case 4) EM 079 - Copy
A small apparently previously myelinated axon shows similar prominent cytoskeleton and surrounding reactive Schwann cell cytoplasm. (electron micrograph)
