Table of Contents
Washington University Experience | PERIPHERAL NEUROPATHY | 6 AXONAL DEMYELINATION (BASIC PROCESS) | 4B2 Demyelination wo remyelination (Case 4) EM 011 copy - Copy
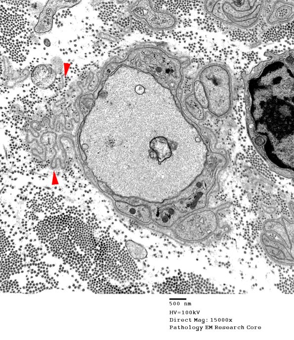
This naked axon shows redundant basal lamina (arrow), evidence of its previously thick myelin sheath. (electron micrograph)
