Table of Contents
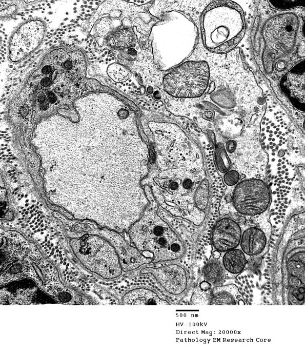
Washington University Experience | PERIPHERAL NEUROPATHY | 6 AXONAL DEMYELINATION (BASIC PROCESS) | 4B3 Demyelination wo remyelination (Case 4) EM 016 - Copy
4B3-5 Additional demyelinated axons, some of which show redundant myelin loops. (electron micrographs)
