Table of Contents
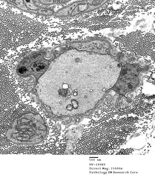
Washington University Experience | PERIPHERAL NEUROPATHY | 6 AXONAL DEMYELINATION (BASIC PROCESS) | 4B5 Demyelination wo remyelination (Case 4) EM 036 - Copy
Additional demyelinated axons, some of which show redundant myelin loops. (electron micrographs)
