Table of Contents
Washington University Experience | PERIPHERAL NEUROPATHY | 6 AXONAL DEMYELINATION (BASIC PROCESS) | 4B6 Demyelination wo remyelination (Case 4) EM 044 copy - Copy
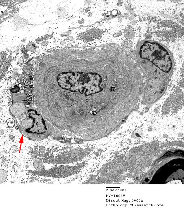
Once myelin has been phagocytosed by macrophages they accumulate adjacent to the endoneurial microvasculature. (electron micrograph)
