Table of Contents
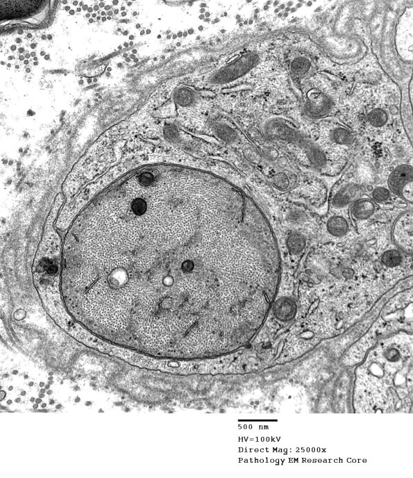
Washington University Experience | PERIPHERAL NEUROPATHY | 6 AXONAL DEMYELINATION (BASIC PROCESS) | 4B7 Demyelination wo remyelination (Case 4) EM 052 - Copy
A photogenic demyelinated axon with prominent axonal cytoskeleton and reactive Schwann cell cytoplasm. (electron micrograph)
