Table of Contents
Washington University Experience | PERIPHERAL NEUROPATHY | 6 AXONAL DEMYELINATION (BASIC PROCESS) | 4B8 Demyelination wo remyelination (Case 4) EM 053 - Copy
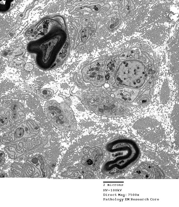
4B8-10 Multiple magnifications of this demyelinated axon with numerous neurofilaments and scattered microtubules. (electron micrographs)
