Table of Contents



Washington University Experience | PERIPHERAL NEUROPATHY | 6 AXONAL DEMYELINATION (BASIC PROCESS) | 4C1 Demyelination wo remyelination (Case 4) EM 072 - Copy

4C1 Demyelination wo remyelination (Case 4) EM 072 - Copy
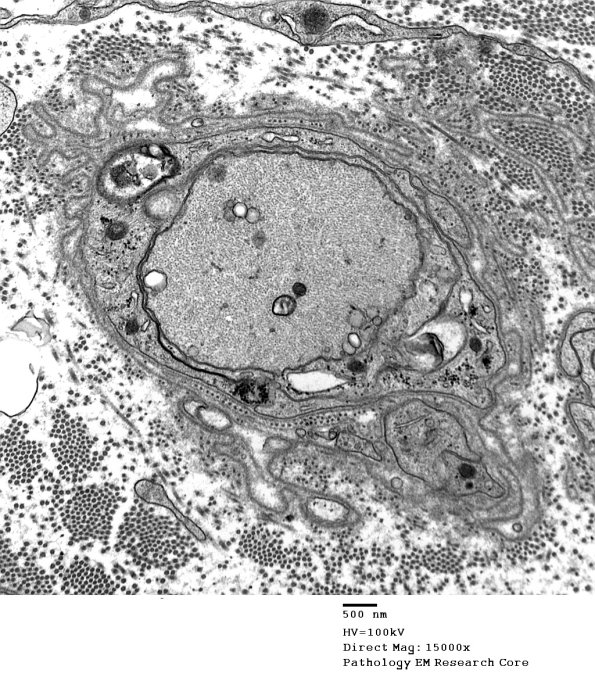
Perhaps the earliest example of remyelination. (electron micrograph)


Gallery RSS RSS Feed | Archive View | Login | Powered by Zenphoto