Table of Contents
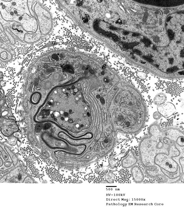
Washington University Experience | PERIPHERAL NEUROPATHY | 6 AXONAL DEMYELINATION (BASIC PROCESS) | 4C2 Demyelination wo remyelination (Case 4) EM 018 - Copy
4C2,3 A complex non-compacted myelin sheath, evidence of remyelination. (electron micrographs)
