Table of Contents
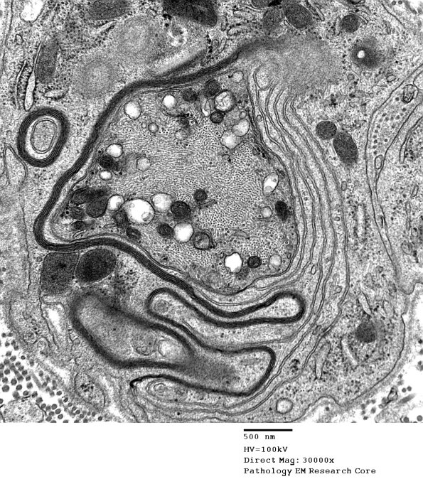
Washington University Experience | PERIPHERAL NEUROPATHY | 6 AXONAL DEMYELINATION (BASIC PROCESS) | 4C3 Demyelination remyelination (Case 4) EM 019 - Copy
A complex non-compacted myelin sheath, evidence of remyelination. (electron micrographs)
