Table of Contents
Washington University Experience | PERIPHERAL NEUROPATHY | 6 AXONAL DEMYELINATION (BASIC PROCESS) | 5B1 (Case 5) EM 005 - Copy
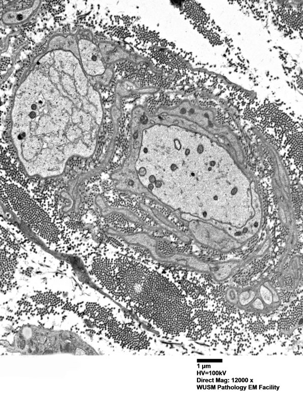
5B1-8 Ultrastructural examination confirms the loss of large and small axons and a population of naked demyelinated axons without evidence for remyelination. Macrophages are rare in the endoneurium and there is no evidence of macrophage mediated demyelination or increased myelin debris in endoneurial macrophages. Most Schwann cells do not contain myelin debris although pi granules are increased in some. ---- 5B1-5 Several demyelinated axons are shown at low and higher magnifications. (electron micrographs)
