Table of Contents
Washington University Experience | PERIPHERAL NEUROPATHY | 6 AXONAL DEMYELINATION (BASIC PROCESS) | 5B2 (Case 5) EM 006 - Copy
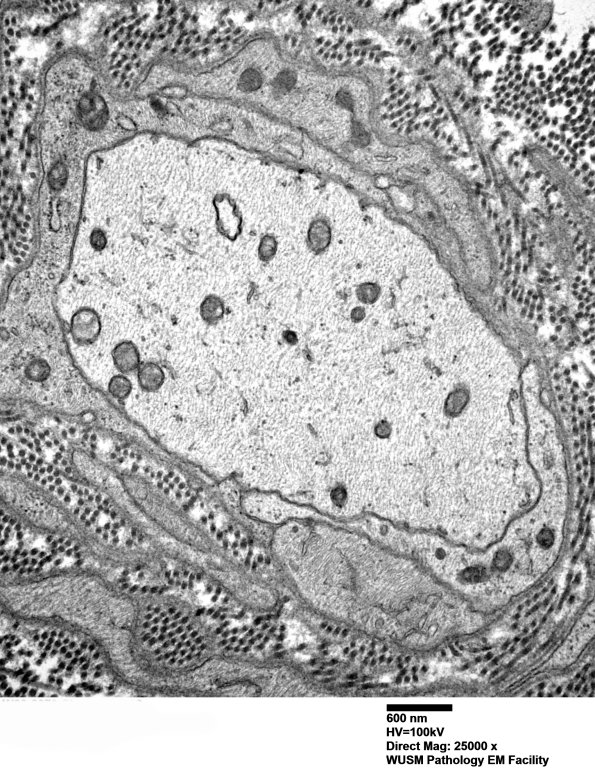
This demyelination is again accompanied by a prominent axonal cytoskeleton. Higher magnification of image #5B1. (electron micrograph)
