Table of Contents
Washington University Experience | PERIPHERAL NEUROPATHY | 6 AXONAL DEMYELINATION (BASIC PROCESS) | 5B4 (Case 5) EM 007 - Copy
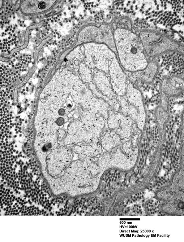
5B4,5 A number of demyelinated axons have an increased intra-axonal proliferation of endoplasmic reticulum-like tubular structures which appear to originate as invaginations of the axolemma. These structures resemble an unusual artifact (see artifacts section) but there is little to suggest crush artifact in this case. (electron micrographs)
