Table of Contents
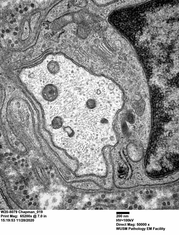
Washington University Experience | PERIPHERAL NEUROPATHY | 6 AXONAL DEMYELINATION (BASIC PROCESS) | 5B6 (Case 5) EM 019 - Copy
It is difficult to tell if this was a small-myelinated axon or an unusual unmyelinated axon; however, it is not accompanied by other unmyelinated axons, has prominent neurofilaments and is likely a small demyelinated axon. (electron micrograph)
