Table of Contents
Washington University Experience | PERIPHERAL NEUROPATHY | 6 AXONAL DEMYELINATION (BASIC PROCESS) | 5B7 (Case 5) EM 021 - Copy
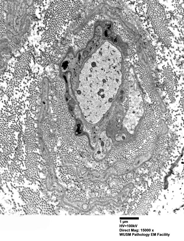
5B7,8 Although typical onion-bulbs with thin Schwann cell concentric processes separated by collagen were not present, there are collections of thicker Schwann cell processes, some containing axons, arranged concentrically around demyelinated axons. A few of these may represent pseudo-onion bulbs but many are very suggestive of true onion bulbs. The absence of remyelination in this nerve biopsy is quite striking and unusual. (electron micrographs)
