Table of Contents



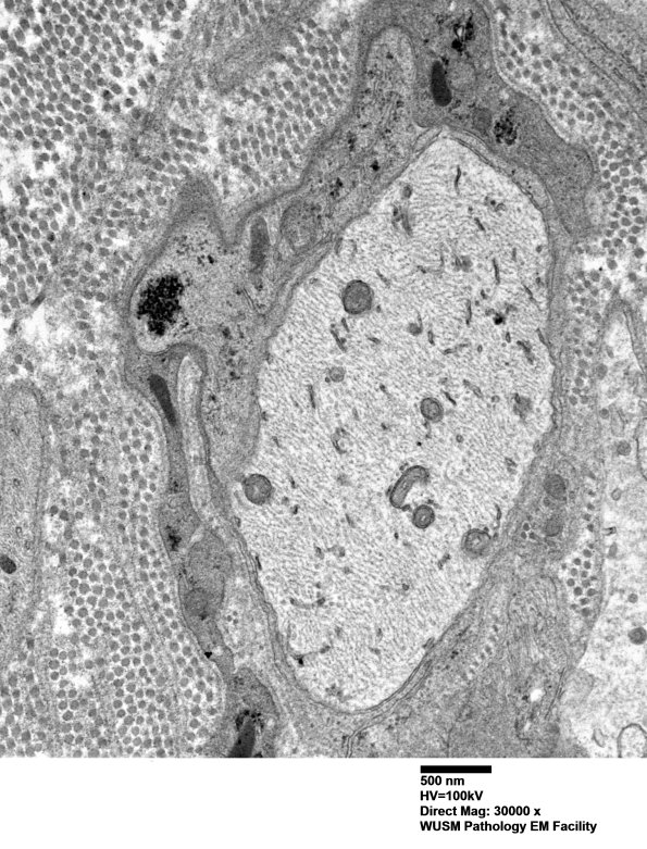
Washington University Experience | PERIPHERAL NEUROPATHY | 6 AXONAL DEMYELINATION (BASIC PROCESS) | 5B8 (Case 5) EM 022 - Copy

5B8 (Case 5) EM 022 - Copy
Higher magnification of image #5B7. (electron micrograph)


Gallery RSS RSS Feed | Archive View | Login | Powered by Zenphoto