Table of Contents
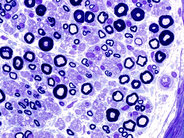
Washington University Experience | PERIPHERAL NEUROPATHY | 6 AXONAL DEMYELINATION (BASIC PROCESS) | 6A3 Demyelination (Case 6) Plastic 12.jpg
In this section of a different fascicle there appears to be a markedly increased number of demyelinated axons; however, they are so numerous and a number are back to back suggesting artifactual dilatation of unmyelinated axons as well as true demyelinated forms. (Toluidine blue stained one micron thick plastic section)
