Table of Contents
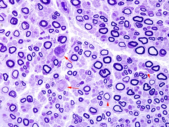
Washington University Experience | PERIPHERAL NEUROPATHY | 6 AXONAL DEMYELINATION (BASIC PROCESS) | 7A Demyelination (Case 7) Plastic 2 copy.jpg
Case 7 No History ---- This is a nice example of two demyelinated axons, one of which looks to have some supernumerary Schwann cells suggestive of onion-bulb formation. A second similar form is identified (arrowhead). (Toluidine blue stained one micron thick plastic section)
