Table of Contents
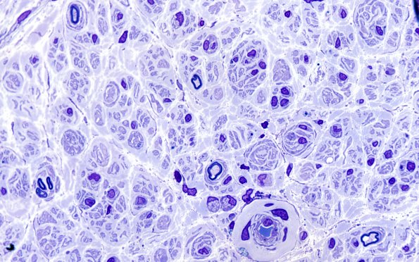
Washington University Experience | PERIPHERAL NEUROPATHY | 7A GUILLAIN-BARRE SYNDROME (GBS) | 10A1 (Case 10) 100X sp GBS. 1
Case 10 History ---- The patient is a 45 year old woman with muscle weakness. ---- 10A1,2 A few relatively large axons without myelin sheaths are noted which are intimately associated with macrophages carrying myelin debris consistent with an active, macrophage mediated demyelination. There is a hint of onion bulb or pseudo-onion bulb formation, suggesting the possibility of CIDP.
