Table of Contents
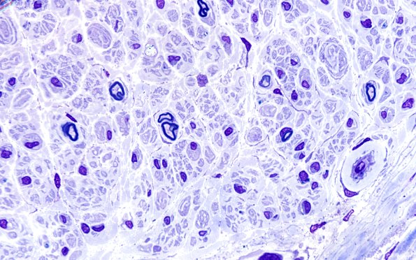
Washington University Experience | PERIPHERAL NEUROPATHY | 7A GUILLAIN-BARRE SYNDROME (GBS) | 10A2 (Case 10) 100X sp GBS. 2
A few relatively large axons without myelin sheaths are noted which are intimately associated with macrophages carrying myelin debris consistent with an active, macrophage mediated demyelination. There is a hint of onion bulb or pseudo-onion bulb formation, suggesting the possibility of CIDP. ---- Not shown: which are intimately associated with macrophages carrying myelin debris consistent with an active, macrophage mediated demyelination. Macrophage mediated demyelination is a pathologic process typically associated with CIDP and Guillain-Barre syndrome.
