Table of Contents
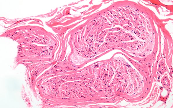
Washington University Experience | PERIPHERAL NEUROPATHY | 7A GUILLAIN-BARRE SYNDROME (GBS) | 1A GBS, (Case 1) H&E 20X
Case 1 History ---- The patient is a 76-year old male with progressive dysphagia, respiratory insufficiency and quadriparesis, developing over a period of a few days. Electrodiagnostic studies are compatible with a Guillain-Barre syndrome. Clinical diagnosis: Rule out Guillain-Barre syndrome. Operative procedure: Muscle and nerve biopsy. ---- 1A The H&E stained section is distinctively unimpressive in this case with minimal if any inflammatory infiltrate which is not uncommon in these cases. Often GBS cases are not biopsied when they have classical histories and lab values. I cannot find the detailed history of this and other long-ago cases. (H&E)
