Table of Contents
« prev
next »
Washington University Experience
|
PERIPHERAL NEUROPATHY
|
7A GUILLAIN-BARRE SYNDROME (GBS)
|
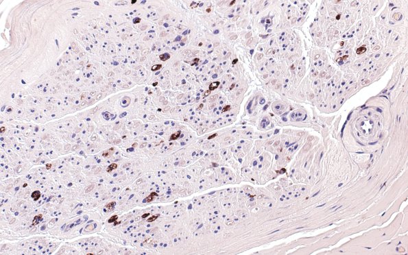
1B1 GBS, (Case 1) KP1 40X 2
This single fascicle shows numerous endoneurial macrophages. (CD68 IHC)
Image Info
Camera Maker:
Olympus
Camera Model:
DP74
Shutter Speed:
18/2459 sec
Metering Mode:
Multi-Spot
Gallery RSS
|
Archive View
|
Login
|
Powered by
Zenphoto