Table of Contents
Washington University Experience | PERIPHERAL NEUROPATHY | 7A GUILLAIN-BARRE SYNDROME (GBS) | 1B2 GBS (Case 1) CD68 6 copy.jpg
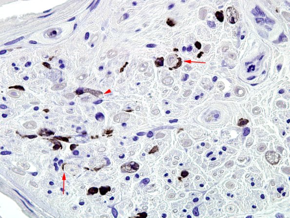
A higher magnification image shows the association of macrophage processes which are in intimate contact with myelinated axons, most showing preserved myelin at this stage (arrows), but one in which the axon is denuded and the macrophage withdrawing (arrowhead). (CD68 IHC)
