Table of Contents
« prev
next »
Washington University Experience
|
PERIPHERAL NEUROPATHY
|
7A GUILLAIN-BARRE SYNDROME (GBS)
|
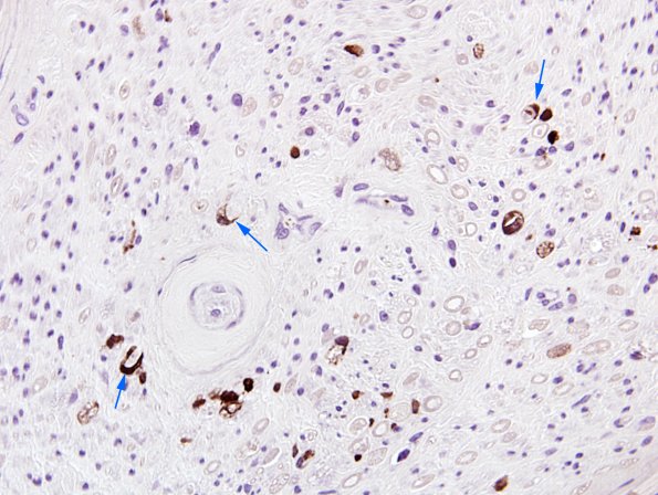
1B3 GBS (Case 1) CD68 1 copy.jpg
1B3,4 Additional examples of macrophages interacting with myelinated axons (arrows). (CD68 IHC)
Image Info
Camera Maker:
Olympus Corporation
Camera Model:
DP70
Original Time Taken:
20-09-2013
Shutter Speed:
1/66 sec
ISO Sensitivity:
200
Metering Mode:
Spot
Gallery RSS
|
Archive View
|
Login
|
Powered by
Zenphoto