Table of Contents
« prev
next »
Washington University Experience
|
PERIPHERAL NEUROPATHY
|
7A GUILLAIN-BARRE SYNDROME (GBS)
|
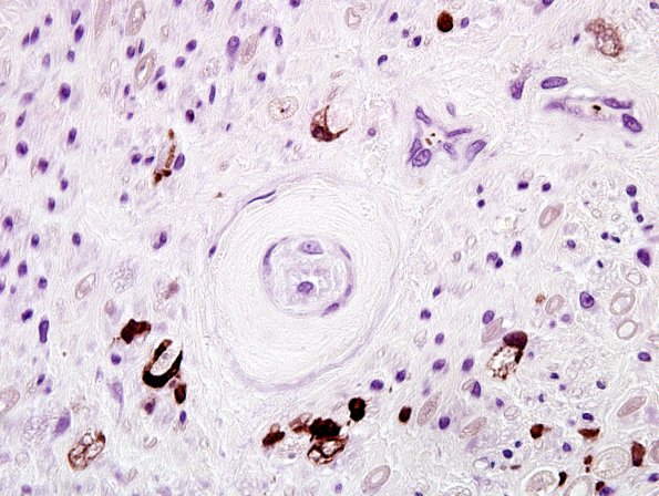
1B4-GBS-Case-1-CD68-4.jpg
Additional examples of macrophages interacting with myelinated axons. (CD68 IHC)
Image Info
Camera Maker:
Olympus Corporation
Camera Model:
DP70
Original Time Taken:
12-09-2013
Shutter Speed:
1/34 sec
ISO Sensitivity:
200
Metering Mode:
Spot
Gallery RSS
|
Archive View
|
Login
|
Powered by
Zenphoto