Table of Contents
« prev
next »
Washington University Experience
|
PERIPHERAL NEUROPATHY
|
7A GUILLAIN-BARRE SYNDROME (GBS)
|
1B5 GBS, (Case 1) CD45 100X 6 copy
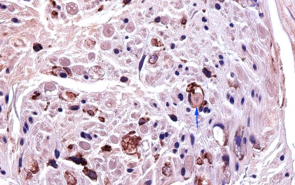
1B5,6 Intact axons being surrounded by stained macrophage processes (arrows). (CD68 IHC)
Image Info
Camera Maker:
Olympus
Camera Model:
DP74
Shutter Speed:
31/1308 sec
Metering Mode:
Multi-Spot
Gallery RSS
|
Archive View
|
Login
|
Powered by
Zenphoto