Table of Contents
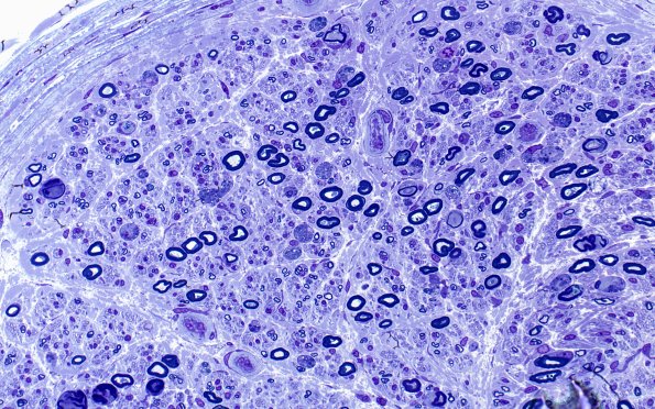
Washington University Experience | PERIPHERAL NEUROPATHY | 7A GUILLAIN-BARRE SYNDROME (GBS) | 1C1 GBS, (Case 1) Plastic 40X
A low magnification of a plastic section showing a complex environment with diminished numbers of large and small myelinated axons. (Plastic sections)
