Table of Contents
Washington University Experience | PERIPHERAL NEUROPATHY | 7A GUILLAIN-BARRE SYNDROME (GBS) | 1C3 GBS, (Case 1) max sharpness 1
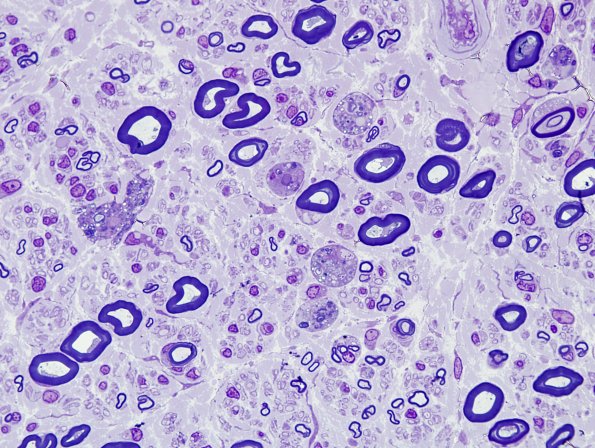
Additional examples of demyelinated axons surrounded by macrophage processes. (Toluidine blue stained one-micron thick plastic embedded nerve section)
