Table of Contents
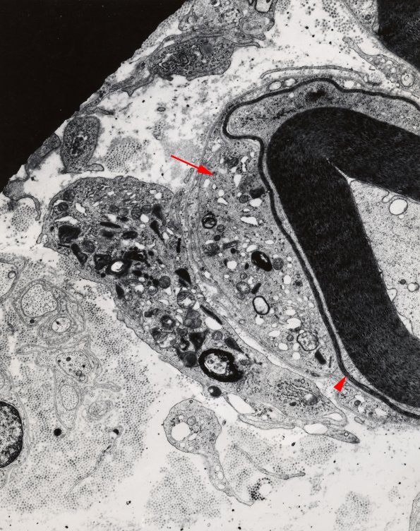
Washington University Experience | PERIPHERAL NEUROPATHY | 7A GUILLAIN-BARRE SYNDROME (GBS) | 1D1a GBS, (Case 1) EM 1 SMALL
1D1-4 A series of electron micrographs showing macrophage-mediated demyelination, the definitive pathogenetic mechanism underlying GBS and chronic inflammatory demyelinative polyneuropathy (CIDP) ---- 1D1 This lower magnification image shows a macrophage containing debris external to but likely connected with a cellular process containing myelin debris (arrow) which has penetrated the Schwann cell and is peeling off a portion of the otherwise normal appearing myelin sheath (arrowhead) with a normal underlying axon. (electron micrograph)
