Table of Contents



Washington University Experience | PERIPHERAL NEUROPATHY | 7A GUILLAIN-BARRE SYNDROME (GBS) | 1D2 GBS, (Case 1) EM 3 - Copy

1D2 GBS, (Case 1) EM 3 - Copy
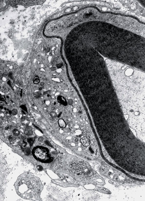
A slightly higher magnification of image #1D1. (electron micrograph)


Gallery RSS RSS Feed | Archive View | Login | Powered by Zenphoto