Table of Contents
Washington University Experience | PERIPHERAL NEUROPATHY | 7A GUILLAIN-BARRE SYNDROME (GBS) | 1D3 GBS, (Case 1) EM 5 copy - Copy
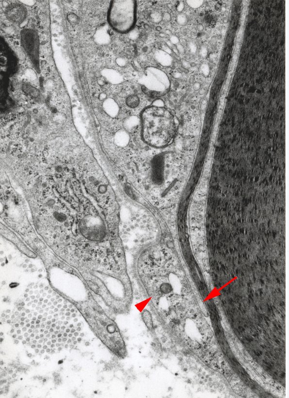
This is a higher magnification image from the arrowhead region of image #1D1. It shows a macrophage process (arrow) separating the myelin from the overlying Schwann cell cytoplasm (arrowhead). (electron micrograph)
