Table of Contents



Washington University Experience | PERIPHERAL NEUROPATHY | 7A GUILLAIN-BARRE SYNDROME (GBS) | 1D4 GBS, (Case 1) EM 2 - Copy A

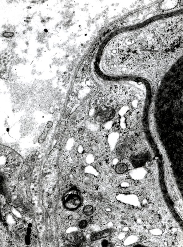
1D4 GBS, (Case 1) EM 2 - Copy A
A superior portion of the macrophage stripping of the myelin sheath. (electron micrograph)


Gallery RSS RSS Feed | Archive View | Login | Powered by Zenphoto