Table of Contents
Washington University Experience | PERIPHERAL NEUROPATHY | 7A GUILLAIN-BARRE SYNDROME (GBS) | 1D5 GBS (Case 1) EM 6 copy - Copy
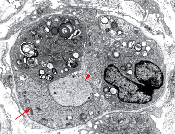
The completion of demyelination shows several macrophages containing myelin debris, a demyelinated axon (arrowhead) and a Schwann cell process devoid of myelin debris (arrow). There are other nearby macrophage processes and cell bodies. (electron micrograph)
