Table of Contents
Washington University Experience | PERIPHERAL NEUROPATHY | 7A GUILLAIN-BARRE SYNDROME (GBS) | 1D6 GBS, (Case 1) EM 1 copy - Copy
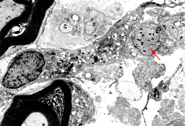
A macrophage containing myelin fragments and lipid droplets leaving the vicinity of a demyelinated axon (arrow).
