Table of Contents
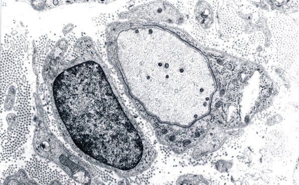
Washington University Experience | PERIPHERAL NEUROPATHY | 7A GUILLAIN-BARRE SYNDROME (GBS) | 1D7 GBS, (Case 1) EM 8 - Copy
1D7-9 Early remyelination is a typical response to macrophage-mediated demyelination. (electron micrographs)
